Pleistophora hyphessobryconis
(Neonziekte)

Phylum: Microsporidia
Classificatie: Microsporea
Orde: Microsporida
Familie: Glugeidae
Geslacht: Pleistophora
Lengte: 4 -10 µm
Inleiding:
Deze aandoening heeft veel weg van een bacteriële aandoening flexibacter columnaris. Echter onder de microscoop kunnen we onderscheid maken. Pleistophora is een Sporozoa die zijn weg vaak via het eten weet te vinden in de ingewanden van de vis. Eenmaal vrij gekomen, zorgen ze ervoor door middel van celdeling voor een snelle vermenigvuldiging. Zodat het door verdere ontwikkeling vervolgens het spierweefsel aantast, met alle gevolgen van dien.
Ziektebeeld:

Wat opvalt is dat de vissen hun kleur(en) verlies, met gevolg dat ze niet meer evenwichtig zwemmen. Ook ondekken we necrose en aantasting van de huid en de spieren. De bleke plekken met een waas er over heen die door de besmetting zijn ontstaan voelen ook zachter aan dan de rest van het lichaam. Omdat de aandoening inwendig begint, word de vis inwendig zo aangetast waardoor de vis vermagert.
De parasiet:

Sporozoa bevindt zich op de bodem, met gevolg
dat het voedsel besmet wat op de bodem te vinden is! In de tropische vissen
wereld komen we hem vaker tegen dan bij de koudwatervissen. En omdat deze
parasiet inwendig bij de vis aan het werk gaat, is het een inviduele sloper.
Dus je ziet geen massale sterfte onder de vissen. Je kan Sporazoa zien als
een soort capsule (Pansporoblasten genoemd) waarin hij zicht uitbreid, tot
de capsule knapt. Hierdoor vindt de Sporozoa besmetting plaats in andere organen.
Indien het buiten de vis komt? Bestaat de mogelijkheid ook dat het andere
vissen besmet. Ook kan Pleistophora een lange tijd zonder gastheer leven.
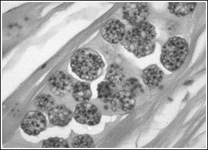
Microscopisch onderzoek:

Zoals al aangegeven, komen we Pleistophora tegen in de spieren van de vis. Dus moeten we ervoor zorgen dat we hier een prepraat van maken. Vervolgens gebruiken we een vergroting van 200x, waarna we vervolgens kunnen vergroten richting de 600 x voor verdere onderzoek om de sporen goed te onderzoeken.

Bestrijding:
Helaas is dit (nog) niet te bestrijden, dus hier geldt de regel voorkomen is beter dan genezen. Men kan het zoveel mogelijk voorkomen om geen levend voer of planten uit sloten te halen. De kans is aanwezig dat er sporen van Sporozoa op die manier mee lift! Indien men in de vijver of het aquarium toch een vis tegen komt met dit verschijnsel? Verwijder de vis, tevens is het raadzaam om de boel grondig te reinigen en geheel opnieuw te beginnen.